Γενικά
Μια από τις πιο συχνές αιτίες χρόνιου πόνου στον αυχένα είναι το σύνδρομο ζυγοαποφυσιακών αρθρώσεων. Πάνω από το 50% των ασθενών που επισκέπτονται ιατρεία πόνου για πόνο στον αυχένα πάσχουν από σύνδρομο ζυγοαποφυσιακών αρθρώσεων. Αυτό το ποσοστό είναι σημαντικά πιο υψηλό από το αντίστοιχο του συνδρόμου ζυγοαποφυσιακών αρθρώσεων στην οσφυϊκή μοίρα της σπονδυλικής στήλης.
Ανατομία
Κάθε σπόνδυλος έχει δυο ζευγάρια αποφυσιακών αρθρώσεων. Οι δύο αρθρώσεις, μια σε κάθε πλευρά του σπονδύλου, που συνενώνονται με τον επάνω σπόνδυλο λέγονται άνω αρθρικές αποφύσεις και οι δύο κάτω ονομάζονται κάτω αρθρικές αποφύσεις. Βρίσκονται στο πίσω μέρος των σπονδύλων.
Οι αποφυσιακές αρθρώσεις φέρουν αρθρικό θύλακο και οι αρθρικές επιφάνειες είναι καλυμμένες με χονδρικό ιστό ώστε να είναι λείες και να μπορούν να κινούνται χωρίς τριβές.
Οι αρθρώσεις επιτρέπουν την κάμψη, την έκταση και την στροφή της σπονδυλικής στήλης παρέχοντας σε αυτήν την απαραίτητη σταθερότητα για να εκτελεί τις προαναφερόμενες κινήσεις.
Σε σύγκριση με τις αποφυσιακές αρθρώσεις της μέσης, οι αποφυσιακές αρθρώσεις του αυχένα διαθέτουν υψηλότερη πυκνότητα μηχανοϋποδοχέων. Από τον 3ο ως τον 7ο αυχενικό σπόνδυλο νευρώνονται από τους έσω κλάδους του οπίσθιου στελέχους του αντίστοιχου νωτιαίου νεύρου. Κάθε αποφυσιακή άρθρωση νευρώνεται από νευρικούς κλάδους από το αμέσως ανώτερο και κατώτερο επίπεδο.

Διάγνωση και Συμπτώματα

Το πιο συχνό σύμπτωμα που αναφέρεται είναι ο πόνος στην περιοχή του αυχένα που πιθανόν να αντανακλά προς τον ώμο ή /και την ωμοπλάτη. Σπανίως ο πόνος περνάει το όριο του ώμου και συνεχίζει προς το βραχιόνιο. Ο πόνος είναι συνήθως ετερόπλευρος αλλά δεν αποκλείεται να είναι και αμφοτερόπλευρος. Ο πόνος μπορεί να είναι στατικός και να επιδεινώνεται με την κίνηση και την περιστροφή του αυχένα. Ο ασθενής συνήθως αναφέρει ευαισθησία στην τοπική πίεση παρασπονδυλικά.
Ο Dwyer έδειξε ότι η έγχυση ερεθιστικού υγρού εντός των αποφυσιακών αρθρώσεων έχει σαν αποτέλεσμα την πρόκληση αντανακλαστικού πόνου με συγκεκριμένη κατανομή, ανάλογα με το επίπεδο των αποφυσιακών αρθρώσεων. Η ίδια κατανομή πόνου φάνηκε και με την ηλεκτρική και μηχανική διέγερση των αρθρώσεων. Αυτή η συγκεκριμένη κατανομή του αντανακλαστικού πόνου βοηθάει στον καθορισμό των πάσχοντων αποφυσιακών αρθρώσεων.
Η φυσική εξέταση και το ιστορικό θα πρέπει να περιλαμβάνει νευρολογικό έλεγχο για τον αποκλεισμό της πιθανότητας ριζιτικού πόνου που ξεκινάει από τον αυχένα. Ο ριζιτικός πόνος σχεδόν πάντοτε επεκτείνεται προς το βραχίονα και ανάλογα με το επίπεδο της βλάβης μπορεί να φτάνει μέχρι τα δάχτυλα του χεριού.
Σε περίπτωση αντανάκλασης του αυχενικού πόνου προς τον ώμο θα πρέπει να εξετάζεται ο ώμος ώστε να αποκλειστεί η παθολογία του.
Αν ο ασθενής αναφέρει ιστορικό κακοήθειας, πρόσφατης και ξαφνικής απώλειας βάρους, δυσφαγία, πυρετό, βήχα που επιμένει και ο πόνος είναι συνεχής , ανεξάρτητος από την κίνηση και επιμένει κατά τη νυχτερινή κατάκλιση, τότε θα πρέπει να γίνεται εκτεταμένος έλεγχος για τον αποκλεισμό κάποιας άλλης σοβαρής παθολογίας.
Συμπληρωματικές Εξετάσεις
Δεν έχει αποδειχτεί συσχέτιση μεταξύ της ακτινολογικής αναγνώρισης εκφυλιστικών αλλοιώσεων και συμπτωμάτων πόνου. Υπάρχουν ασθενείς που δεν εμφανίζουν ακτινολογικές ανατομικές ανωμαλίες και οι οποίοι πάσχουν από σύνδρομο ζυγοαποφυσιακών αρθρώσεων και πονάνε στον αυχένα και άλλοι που ενώ εμφανίζουν έντονες εκφυλιστικές αλλοιώσεις ακτινολογικά, δεν πονάνε καθόλου.
Επομένως ακτινολογικές εξετάσεις όπως αξονική τομογραφία (CT) και μαγνητική τομογραφία (MRI) θα πρέπει να γίνονται μόνο σε περίπτωση υποψίας ριζιτικού πόνου ή για τον αποκλεισμό άλλης σοβαρής και επικίνδυνης παθολογίας.
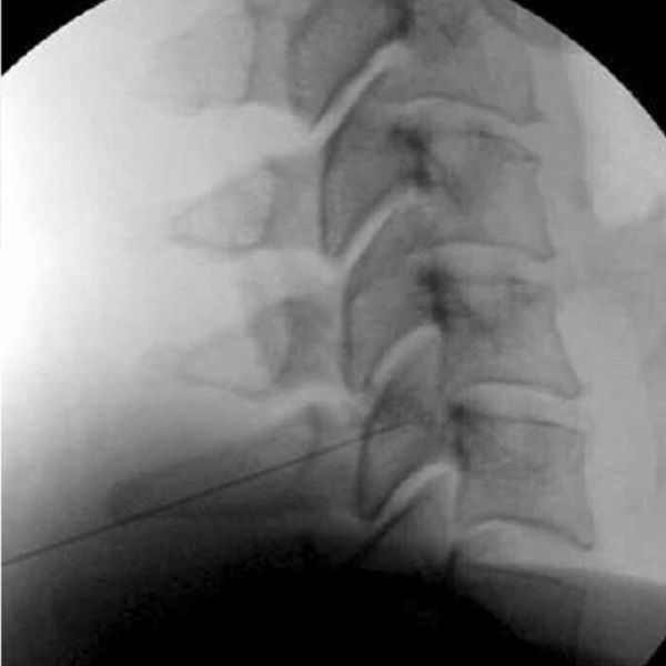
Διαγνωστικός Αποκλεισμός Αποφυσιακών Αρθρώσεων
Η διάγνωση του συνδρόμου των αποφυσιακών αρθρώσεων τίθεται με διαγνωστικό αποκλεισμό των έσω νευρικών κλάδων του οπίσθιου στελέχους του αντίστοιχου νωτιαίου νεύρου, με 0,5 ml τοπικού αναισθητικού. Ο αποκλεισμός εφαρμόζεται υπο ακτινοσκοπική καθοδήγηση.

Κάθε άρθρωση νευρώνεται από δύο τέτοιους κλάδους, έναν από το αμέσως επάνω επίπεδο και έναν από το αμέσως κάτω. Για παράδειγμα για τον αποκλεισμό της Α4-Α5 αποφυσιακής άρθρωσης θα πρέπει να αποκλειστούν οι έσω κλάδοι των Α4 καιΑ5 οπίσθιων νευρικών στελεχών των αντίστοιχων νωτιαίων νεύρων.
Σε περίπτωση που ο ασθενής διαπιστώσει μετα τον αποκλεισμό και για τη χρονική διάρκεια δράσης του τοπικού αναισθητικού βελτίωση του πόνου πάνω από 50% σύμφωνα με τη δική του εκτίμηση, τότε τίθεται η διάγνωση του συνδρόμου των αποφυσιακών αρθρώσεων που αποκλείστηκαν.
Θεραπεία
Α. Συντηρητική
• φυσικοθεραπεία
• γυμναστική
• διατατικές ασκήσεις
σε μελέτες φάνηκε ότι ο παραπάνω συνδυασμός συντηρητικής θεραπεία μπορεί να επιτύχει βελτίωση των συμπτωμάτων, ωστόσο αυτή είναι μικρή.
Β. Επεμβατική Θεραπεία
• ενδοαρθρική έγχυση κορτικοστεροειδών
• επαναλαμβανόμενοι αποκλεισμοί των έσω νευρικών κλάδων με τοπικό αναισθητικό και με ή χωρίς κορτικοστεροειδές
• απονεύρωση αποφυσιακών αρθρώσεων με κλασική ραδιοσυχνότητα
Μελέτες παρατήρησης έδειξαν ότι η νευρόλυση (καταστροφή με θερμότητα) των νευρικών κλάδων που νευρώνουν τις αποφυσιακές αρθρώσεις με ραδιοσυχνότητα επιτυγχάνει αναλγησία που διαρκεί κατά μέσο όρο γύρω στον ένα χρόνο. Η τεχνική μπορεί να επαναλαμβάνεται με ασφάλεια.
Σύμφωνα με τις οδηγίες τεκμηριωμένης επεμβατικής θεραπείας πόνου της σπονδυλικής στήλης, η απονεύρωση των αποφυσιακών αρθρώσεων στην αυχενική μοίρα της σπονδυλικής στήλης συστήνεται σα ενδεδειγμένη θεραπεία.
Γ. Χειρουργική Θεραπεία
Η πρόσθια αυχενική σπονδυλοδεσία περιγράφεται σαν μία πιθανή τεχνική για την αντιμετώπιση του μη ριζιτικού αυχενικού πόνου. Μία μελέτη έδειξε καλά αποτελέσματα στη βελτίωση του πόνου και της λειτουργικότητας αλλά το μακροπρόθεσμο αποτέλεσμα είναι άγνωστο.
Πηγές Ιατρικών Πληροφοριών
1. PAIN PRACTICE JOURNAL
2. BONICA”S MANAGEMENT OF PAIN
3. PAIN PHYSICIAN JOYRNAL
4. INTERVENTIONAL PAIN MANAGEMENT BOOK
5. NEUROMODULATION JOURNAL