diskografia

Δισκογραφία

Γενικά

Η δισκογραφία είναι μια διαγνωστική, ελάχιστα επεμβατική τεχνική που χρησιμοποιείται για να αποδείξει κατά πόσο κάποιος ή κάποιοι μεσοσπονδύλιοι δίσκοι είναι η πηγή του χρόνιου πόνου στη μέση ή τον αυχένα. Η μαγνητική τομογραφία μπορεί να δείχνει την εκφύλιση των μεσοσπονδύλιων δίσκων, αλλά δεν παύει να είναι μια εικόνα και δεν μπορεί να αποδείξει ότι o εκφυλισμένος δίσκος είναι και η αιτία του πόνου.

Η δισκογραφία πρόκλησης εφαρμόζεται σε χρόνια οσφυαλγία ή αυχεναλγία όταν υπάρχει η υποψία δισκoγενούς  πόνου και αφού πρώτα έχουν αποκλειστεί άλλες πιθανές αιτίες, όπως το σύνδρομο ζυγοαποφυσιακών αρθρώσεων, η δυσλειτουργία της ιερολαγόνιας άρθρωσης και ο ριζιτικός πόνος.

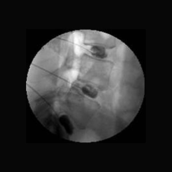
Τεχνική

Η δισκογραφία εφαρμόζεται με τον ασθενή σε πρηνή θέση και υπό ακτινοσκοπικό έλεγχο. Ο ασθενής παραμένει ξυπνητός και συνεργάζεται με τον ιατρό. Μετά από προσεκτική αντισηψία του δέρματος και τοπική αναισθησία στο σημείο εισόδου ειδικής βελόνας, αυτή προωθείται μέσα στον πυρήνα του υπό εξέταση μεσοσπονδύλιου δίσκου, χωρίς να γνωρίζει ο ασθενής ποιος είναι αυτός.

Με ειδική συσκευή που συνδέεται με τη βελόνα, εγχύεται σκιαστικό και γίνεται μέτρηση του όγκου του  και της ενδοδισκιικής πίεσης και τα στοιχεία καταγράφονται αναλυτικά. Αν κατά την αύξηση της πίεσης εντός του δίσκου ο ίδιος ο ασθενής αναφέρει πόνο παρόμοιο με αυτόν που τον βασανίζει και ικανής έντασης (>7/11), τότε πιθανότατα ο συγκεκριμένος δίσκος είναι η αιτία του πόνου. Για να επιβεβαιωθεί αυτό το εύρημα, ακολουθεί δισκογραφία και δύο ακόμη δίσκων αναφοράς, για να γίνει σύγκριση με κάποιον πιθανόν υγιή δίσκο που δεν προκαλεί πόνο και εμφανίζει φυσιολογική καταγραφή πιέσεων και διάχυση του σκιαστικού εντός του πυρήνα.

Η επεμβατική εξέταση διαρκεί περίπου 30 λεπτά έως μια ώρα και στη συνέχεια ακολουθεί αξονική τομογραφία που εμφανίζει ακριβώς την κατανομή και διάχυση του σκιαστικού μέσα στο μεσοσπονδύλιο δίσκο. Με βάση την τελευταία εξέταση γίνεται κατάταξη της ενδοδισκικής εκφύλισης σύμφωνα με  την κλίμακα Dallas.

Κλίμακα Dallas

Βαθμός 0 = το σκιαστικό παραμένει εντός του πυρήνα (φυσιολογικός δίσκος)
Βαθμός 1 = ο ινώδης δακτύλιος παρουσιάζει μικρορήξεις και το σκιαστικό διαχέεται έως το  έσω τριτημόριο του ινώδους δακτυλίου
Βαθμός 2 = ο ινώδης δακτύλιος παρουσιάζει μέτρια εκφύλιση και το σκιαστικό διαχέεται μέσω ρήξεων έως το μέσο τριτημόριο του ινώδους δακτυλίου
Βαθμός 3 = ο ινώδης δακτύλιος παρουσιάζει σημαντική  εκφύλιση και το σκιαστικό διαχέεται μέσω ρήξεων έως το έξω τριτημόριο του ινώδους δακτυλίου
Βαθμός 4 = ο ινώδης δακτύλιος παρουσιάζει βαριά  εκφύλιση και το σκιαστικό διαχέεται μέσω ρήξεων έως το έξω τριτημόριο του ινώδους δακτυλίου και γυρίζει κυκλοτερώς σε μεγαλύτερη έκταση του.

Απόλυτος Δισκογενής Πόνος

•    Η αύξηση της πίεσης στο δίσκο στόχο προκαλεί πανομοιότυπο πόνο
•    Η ένταση του πόνου βαθμολογείται από τον ασθενή τουλάχιστον με 7 σε 11βαθμη κλίμακα (>7/11)
•    Ο πόνος αναπαράγεται με πίεση μικρότερη από 15 psi πάνω από την πίεση εκκίνησης.
•    Η αύξηση της πίεσης σε δύο ακόμη γειτονικούς δίσκους δεν προκαλεί πόνο 

Υψηλή Πιθανότητα Δισκογενούς Πόνου

•    Η αύξηση της πίεσης στο δίσκο στόχο προκαλεί πανομοιότυπο πόνο
•    Η ένταση του πόνου βαθμολογείται από τον ασθενή τουλάχιστον με 7 σε 10βαθμη κλίμακα (>7/10)
•    Ο πόνος αναπαράγεται με πίεση μικρότερη από 15 psi πάνω από την πίεση εκκίνησης.
•    Η αύξηση της πίεσης σε έναν ακόμη από τους γειτονικούς δίσκους δεν προκαλεί πόνο

Δισκοπάθεια (Δισκογενής Πόνος)

Δισκογενής Πόνος

•    Η αύξηση της πίεσης στο δίσκο στόχο προκαλεί πανομοιότυπο πόνο
•    Η ένταση του πόνου βαθμολογείται από τον ασθενή τουλάχιστον με 7 σε 10 βαθμη κλίμακα (>7/10)
•    Ο πόνος αναπαράγεται με πίεση μικρότερη από 50 psi πάνω από την πίεση εκκίνησης.
•    Η αύξηση της πίεσης σε δύο ακόμη γειτονικούς δίσκους δεν προκαλεί πόνο

Πιθανώς Δισκογενής Πόνος

•    Η αύξηση της πίεσης στο δίσκο στόχο προκαλεί πανομοιότυπο πόνο
•    Η ένταση του πόνου βαθμολογείται από τον ασθενή τουλάχιστον με 7 σε 10βαθμη κλίμακα (>7/10)
•    Ο πόνος αναπαράγεται με πίεση μικρότερη από 50 psi πάνω από την πίεση εκκίνησης.
•    Η αύξηση της πίεσης σε έναν ακόμη γειτονικό δίσκο δεν προκαλεί πόνο και η αύξηση της πίεσης σε ένα ακόμη δίσκο, μεγαλύτερης  από τα 50 psi πάνω από την πίεση εκκίνησης, προκαλεί πόνο που μοιάζει με τον καθημερινό.

Αντενδείξεις

•    Απουσία γραπτής συγκατάθεσης
•    Τοπική λοίμωξη
•    Εγκυμοσύνη
•    Συστηματική λοίμωξη
•    Χρήση αντιπηκτικών (συνιστάται διακοπή και ρύθμιση )

Κίνδυνοι – Επιπλοκές

Όπως και με κάθε φάρμακο και επεμβατική τεχνική, υπάρχει πάντα ο κίνδυνος πρόκλησης επιπλοκής. Τυπικά η δισκογραφία θεωρείται εξέταση χαμηλού κινδύνου με ελάχιστες επιπλοκές. Αν και δε συμβαίνει συχνά η δισκίτιδα μπορεί να είναι πολύ σοβαρή. Δισκίτιδα είναι η λοίμωξη του μεσοσπονδύλιου δίσκου που εκδηλώνεται με έντονο πόνο λίγες ημέρες μετά τη δισκογραφία και οφείλεται στην είσοδο κάποιου μικροβίου μέσα στο δίσκο. Άλλες επιπλοκές είναι η αιμορραγία, το αιμάτωμα, η κεφαλαλγία και η αύξηση του πόνου.
Για τη μείωση της πιθανότητας πρόκλησης δισκίτιδας, χορηγείται στον ασθενή, 30 λεπτά πριν την έναρξη της επέμβασης, ενδοφλεβίως αντιβίωση, καθώς και ενδοδισκικά πριν την απόσυρση της βελόνας από το δίσκο.

Έκβαση της Δισκογραφίας

Το αποτέλεσμα της δισκογραφίας εκτιμάται από το θεράποντα ιατρό και στη συνέχεια συζητούνται οι θεραπευτικές επιλογές, με στόχο την εξάλειψη ή μείωση του πόνου, τη βελτίωση της λειτουργικής ικανότητας και της ποιότητας ζωής του ασθενούς.

Πηγές Ιατρικών Πληροφοριών

1. PAIN PRACTICE JOURNAL

2. BONICA”S MANAGEMENT OF PAIN

3. PAIN PHYSICIAN JOURNAL

4. INTERVENTIONAL PAIN MANAGEMENT BOOK

Άρθρα Περιοδικών

Evocative lumbar discography Montes García C, Nava Granados LF. Acta Ortop Mex. 2007 Mar-Apr;21(2):85 PMID: 17695763 Discography: over 50 years of controversy Wichman HJ. WMJ. 2007 Feb;106(1):27 PMID: 17393754 Systematic review of discography as a diagnostic test for spinal pain: an update Buenaventura RM, Shah RV, Patel V, Benyamin R, Singh V. Pain Physician. 2007 Jan;10(1):147- PMID: 17256028 www.spine.org

[pp_popup ]

Τα οστεοπορωτικά κατάγματα σπονδύλων είναι αρκετά συχνά στον πληθυσμό και οφείλονται κυρίως σε οστεοπόρωση. Το πρόβλημα είναι ότι τα 2/3 σχεδόν αυτών παραμένουν αδιάγνωστα και αποδίδονται σε πόνο λόγω μυϊκοί σπασμού ή πόνο σπονδυλαρθρίτιδας λόγω του προχωρημένου της ηλικίας. Είναι πιο συχνά στις γυναίκες μετά την εμμηνόπαυση, κυρίως στις μεγάλες ηλικίες αλλά δεν αποκλείονται και νέοι άνθρωποι μεταξύ των 40 – 50 ετών.

 

Τα οστεοπορωτικά κατάγματα σπονδύλων είναι αρκετά συχνά στον πληθυσμό και οφείλονται κυρίως σε οστεοπόρωση. Το πρόβλημα είναι ότι τα 2/3 σχεδόν αυτών παραμένουν αδιάγνωστα και αποδίδονται σε πόνο λόγω μυϊκοί σπασμού ή πόνο σπονδυλαρθρίτιδας λόγω του προχωρημένου της ηλικίας. Είναι πιο συχνά στις γυναίκες μετά την εμμηνόπαυση, κυρίως στις μεγάλες ηλικίες αλλά δεν αποκλείονται και νέοι άνθρωποι μεταξύ των 40 – 50 ετών.

 

Τα οστεοπορωτικά κατάγματα σπονδύλων είναι αρκετά συχνά στον πληθυσμό και οφείλονται κυρίως σε οστεοπόρωση. Το πρόβλημα είναι ότι τα 2/3 σχεδόν αυτών παραμένουν αδιάγνωστα και αποδίδονται σε πόνο λόγω μυϊκοί σπασμού ή πόνο σπονδυλαρθρίτιδας λόγω του προχωρημένου της ηλικίας. Είναι πιο συχνά στις γυναίκες μετά την εμμηνόπαυση, κυρίως στις μεγάλες ηλικίες αλλά δεν αποκλείονται και νέοι άνθρωποι μεταξύ των 40 – 50 ετών.