Αυχενική Δισκοπλαστική

Αυχενική Δισκοπλαστική

Κέντρο Επεμβατικής Θεραπείας Πόνου

Η δισκοπάθεια στην αυχενική μοίρα της σπονδυλικής στήλης είναι μια χρόνια πάθηση, που προκαλεί πόνο στην περιοχή του αυχένα με αντανάκλαση προς την περιοχή της ωμοπλάτης και των άνω άκρων.

Οφείλεται στη σταδιακή εκφύλιση των μεσοσπονδύλιων δίσκων, οι οποίοι χάνουν τη φυσιολογική αρχιτεκτονική τους και γίνονται φλεγμονώδεις και ευαίσθητοι στην απλή μηχανική πίεση. Με την πάροδο του χρόνου υφίστανται καθίζηση, με αποτέλεσμα την μείωση του ύψους του μεσοσπονδύλιου διαστήματος, την συμπίεση των σπονδυλικών αρθρώσεων και τη στένωση των μεσοσπονδύλιων τρημάτων, από όπου εξέρχονται τα νωτιαία νεύρα.

Ο μόνιμος και συνεχής πόνος που προκαλεί η αυχενική δισκοπάθεια προκαλεί ευθειασμό της αυχενικής μοίρας της σπονδυλικής στήλης και παρασπονδυλικό μυϊκό σπασμό στην πλάτη. Τα συμπτώματα είναι ιδιαίτερα ανθεκτικά στη συντηρητική αγωγή με φάρμακα και φυσικοθεραπεία.

Θεραπεία

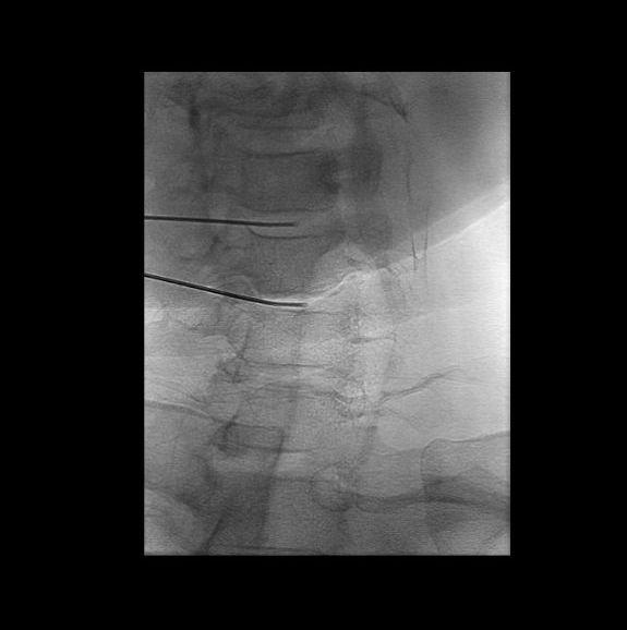
Όταν ο ασθενής υποφέρει πάνω από 6 μήνες και αδυνατεί να βρει ικανοποιητική ανακούφιση, η επέμβαση εκλογής είναι η δισκοπλαστική με ενδοδισκική εφαρμογή Discogel και Παλμικής Ραδιοσυχνότητας (Pulsed RF).

Η δισκοπλαστική εφαρμόζεται με τον ασθενή υπό τοπική αναισθησία, ελαφρά ενδοφλέβια καταστολή και ακτινοσκοπική καθοδήγηση. Μια ειδική λεπτή βελόνα τοποθετείται εντός του πυρήνα του εκφυλισμένου και επώδυνου δίσκου. Δια μέσω της βελόνας εισάγεται ηλεκτρόδιο το οποίο συνδέεται με γεννήτρια ραδιοσυχνοτήτων, η οποία παράγει και εφαρμόζει στον πυρήνα του δίσκου, δια μέσω του ηλεκτροδίου, ηλεκτρομαγνητικό πεδίο, το οποίο απευαισθητοποιεί τους υποδοχείς πόνου του εκφυλισμένου δίσκου και μειώνει τη φλεγμονή, ενισχύοντας τη δράση του ανοσοποιητικού συστήματος.

Στη συνέχεια αποσύρεται το ηλεκτρόδιο και γίνεται έγχυση του Discogel εντός του πυρήνα του δίσκου, δια μέσω της ίδιας βελόνας. Το Discogel έχει την ιδιότητα να προσροφά νερό και να συνθέτει έναν ανανεωμένο πυρήνα, καθώς και να κλείνει τις ρωγμές του περιβλήματος του δίσκου.
Με την τεχνική αυτή, η οποία είναι μια ελάχιστα επεμβατική θεραπεία, ο μεσοσπονδύλιος δίσκος αποκτά ενδοδισκική πίεση, παύει να είναι φλεγμονώδης και ευαίσθητος και το μεσοσπονδύλιο διάστημα διατηρεί το ύψος του. 4 – 6 εβδομάδες μετά την εφαρμογή της τεχνικής ο ασθενής, σε πολύ υψηλό ποσοστό ανακουφίζεται πλήρως από τα συμπτώματά του.

Για περισσότερες πληροφορίες καλέστε το Κέντρο Διάγνωσης & Επεμβατικής Θεραπείας Πόνου

[pp_popup ]

Τα οστεοπορωτικά κατάγματα σπονδύλων είναι αρκετά συχνά στον πληθυσμό και οφείλονται κυρίως σε οστεοπόρωση. Το πρόβλημα είναι ότι τα 2/3 σχεδόν αυτών παραμένουν αδιάγνωστα και αποδίδονται σε πόνο λόγω μυϊκοί σπασμού ή πόνο σπονδυλαρθρίτιδας λόγω του προχωρημένου της ηλικίας. Είναι πιο συχνά στις γυναίκες μετά την εμμηνόπαυση, κυρίως στις μεγάλες ηλικίες αλλά δεν αποκλείονται και νέοι άνθρωποι μεταξύ των 40 – 50 ετών.

 

Τα οστεοπορωτικά κατάγματα σπονδύλων είναι αρκετά συχνά στον πληθυσμό και οφείλονται κυρίως σε οστεοπόρωση. Το πρόβλημα είναι ότι τα 2/3 σχεδόν αυτών παραμένουν αδιάγνωστα και αποδίδονται σε πόνο λόγω μυϊκοί σπασμού ή πόνο σπονδυλαρθρίτιδας λόγω του προχωρημένου της ηλικίας. Είναι πιο συχνά στις γυναίκες μετά την εμμηνόπαυση, κυρίως στις μεγάλες ηλικίες αλλά δεν αποκλείονται και νέοι άνθρωποι μεταξύ των 40 – 50 ετών.

 

Τα οστεοπορωτικά κατάγματα σπονδύλων είναι αρκετά συχνά στον πληθυσμό και οφείλονται κυρίως σε οστεοπόρωση. Το πρόβλημα είναι ότι τα 2/3 σχεδόν αυτών παραμένουν αδιάγνωστα και αποδίδονται σε πόνο λόγω μυϊκοί σπασμού ή πόνο σπονδυλαρθρίτιδας λόγω του προχωρημένου της ηλικίας. Είναι πιο συχνά στις γυναίκες μετά την εμμηνόπαυση, κυρίως στις μεγάλες ηλικίες αλλά δεν αποκλείονται και νέοι άνθρωποι μεταξύ των 40 – 50 ετών.